解读胃癌影像学:从CT到MRI的诊断过程胃癌,作为消化系统常见的恶性肿瘤之一,其早期发现与精准诊断对患者的治疗及预后具有至关重要的作用。而影像学技术在胃癌诊断过程中发挥着不可或缺的角色。无论是计算机断层扫描(CT)还是磁共振成像(MRI),它们犹如医生的“透视眼”与“超级侦探”,助力我们深入揭示胃癌的奥秘。 一、胃癌?听起来好可怕!首先,咱们得知道什么是胃癌。胃癌,简单来说,就是胃部组织中生长出的恶性肿瘤。这东西可不好惹,要是不早点发现、早点治疗,后果可就严重了。所以,咱们今天就来聊聊怎么通过一些高科技手段,比如CT、MRI,来尽早发现并揪出这个潜在的“捣蛋鬼”。通过这些高科技的诊断工具,我们可以在疾病的早期阶段就对其进行准确的定位和评估,从而为后续的治疗提供重要的依据。 二、CT:胃癌诊断的“透视眼”胃肠道肿瘤手术后的疼痛是不可避免的,但过度的疼痛不仅会让你感到极度不适,还可能对术后恢复产生不利影响,延缓康复进程。所以,一定要学会有效地管理疼痛。首先,和医生保持沟通,及时反馈疼痛情况,了解如何合理使用止痛药。术后采用三步法缓解疼痛,并采用硬膜外镇痛、自控静脉镇痛、口服或滴注药物等多种镇痛方法,同时及时评估镇痛效果,若镇痛效果不理想,则及时联系麻醉师调整镇痛方案。此外,可以尝试一些非药物疗法来辅助缓解疼痛。比如,深呼吸练习能够帮助放松紧张的肌肉,冥想则有助于转移注意力,减轻疼痛感和焦虑情绪。让我们先来详细了解一下CT扫描。CT听起来是不是感觉非常高端和复杂?实际上,它就像是对人体进行了一次高科技的“透视拍摄”。(一)CT是怎么工作的?当你躺在CT机里的时候,它会发出一束束X射线,这些射线穿过你的身体,然后被探测器接收。计算机就像是个超级聪明的“拼图大师”,它会把这些射线信息组合起来,生成一张张详细的身体内部图片。这样一来,医生就能看到胃、肠、肝等内脏的“真面目”了。这种技术在医学诊断中起到了至关重要的作用,帮助医生更准确地识别和评估各种疾病和损伤。 (二)CT能看出胃癌啥?要是胃里面长了肿瘤,CT可是能看得清清楚楚的。它能显示出肿瘤的位置、大小和形状,还能看出肿瘤有没有侵犯到周围的组织或者器官。更重要的是,CT还能帮助医生判断肿瘤有没有转移到淋巴结或者其他地方,这对于制定治疗方案可是至关重要的。因此,CT是胃癌首选的影像学检查手段。(三)做CT有啥要注意的?做CT之前,你可能需要喝一种叫做造影剂的液体。这东西就像是给身体内部打上了“高光”,能够增强扫描图像的对比度,让肿瘤在图片上更加显眼,从而帮助医生更准确地诊断和评估病情。然而,值得注意的是,并非所有人都适合使用造影剂。有些人可能会对其产生过敏反应,这可能表现为皮疹、呼吸困难或其他更严重的症状。因此,在进行CT扫描之前,务必详细告知医生你的过敏史,以便医生评估是否适合使用造影剂,并采取相应的预防措施。还有,CT虽然是个“透视眼”,但它也不是万能的。有时候,肿瘤可能藏得太深或者太小,CT就看不出来了。所以,要是CT结果没问题,但仍然感到身体不适或有任何疑虑,一定要及时与医生沟通。医生可能会建议你进行其他类型的检查,如MRI,以进一步确认诊断结果。三、MRI:胃癌诊断的“超级侦探”说完CT,咱们再来聊聊MRI。MRI它可是个高科技的“超级侦探”,能够深入人体内部,捕捉到那些微小而复杂的结构和病变。(一)MRI是怎么工作的?MRI的工作原理跟CT可不太一样。它不用X射线,而是用一个超级强大的磁场和无线电波来“激活”你身体里的氢原子。这些被“激活”的氢原子会发出微弱的信号,MRI机器就像是个超级灵敏的“收音机”,能捕捉到这些信号并把它们转换成详细的身体内部图片。它不仅能提供横截面图像,还能生成三维图像。这样一来,医生就能看到比CT更加细腻的身体结构了。无论是大脑、脊髓,还是关节和软组织,MRI都能提供清晰的视图,成为现代医学中不可或缺的诊断工具。(二)MRI能看出胃癌啥?MRI在胃癌诊断上也是个高手。它不仅能看出肿瘤的位置、大小和形状,还能显示出肿瘤内部的血流情况。这对于判断肿瘤的良恶性可是非常有帮助的。更重要的是,MRI还能帮助医生评估手术的可行性。比如,要是肿瘤已经长到了血管或者神经旁边,手术风险可就大了。这时候,MRI就能给医生提供一个更加准确的“作战地图”,让他们能更好地制定手术计划。(三)做MRI有啥要注意的?在进行MRI检查之前,你需要仔细检查并移除身上携带的所有金属物品。这包括但不限于手表、项链、耳环、戒指、金属边眼镜以及任何金属装饰的衣物。甚至连一些看似无害的金属物品,如金属扣、拉链、内衣钢圈等,也必须去除。因为磁场可是个“大力士”,它能把金属东西吸过去,万一吸到了机器里面,不仅会损坏设备,还可能对你自己造成伤害。此外,有些人可能会对MRI机器内部发出的声音感到不适。这些声音通常是因为机器内部的磁场变化引起的,听起来可能会有些吵闹。不过,不用担心,医院通常会提前为你准备耳塞或者耳机,以帮助你隔绝这些噪音,确保你在检查过程中能够保持舒适。值得注意的是,尽管MRI是一种非常先进的影像检查手段,但它并非万能的。在某些情况下,肿瘤可能因为位置过于隐蔽或者体积过小,而无法被MRI准确捕捉到。因此,为了确保诊断的准确性,医生通常会结合多种不同的检查手段,如CT扫描、超声波检查、内窥镜检查以及血液检测等,综合评估病情。只有这样,才能更全面地了解患者的健康状况,从而制定出最适合的治疗方案。四、从CT到MRI:胃癌诊断的“黄金搭档”说了这么多,你可能也看出来了:CT和MRI在胃癌诊断上可是个“黄金搭档”。它们各有各的长处,也各有各的短处。所以,医生通常会根据你的具体情况来选择最合适的检查手段。有时候,可能还得CT和MRI都做一遍才行呢!不过,你可别以为做了这些检查就万事大吉了。诊断胃癌,还得靠病理活检这个“金标准”才行。简单来说,就是医生会从你的胃里取一小块组织出来送到实验室里面化验。要是化验结果显示有癌细胞,那可就是板上钉钉的胃癌了。好了,说了这么多关于胃癌影像学的事儿,我想最后再跟大家说一句:胃癌并不可怕,可怕的是我们对它的忽视和拖延。所以,大家一定要重视自己的身体健康哦!要是觉得有什么不对劲儿,一定要及时就医并听从医生的建议。只有这样,我们才能拥有一个健康、美好的未来呢!参考文献:[1]胡佳慧,陈晓东,罗泽斌.基于CT影像组学在胃癌与胃淋巴瘤鉴别诊断中的研究进展[J].中国CT和MRI杂志,2025,23(01):198-200.[2]中国抗癌协会胃癌专业委员会影像协作组,中华放射学会腹部学组.胃癌影像学检查与诊断规范化流程专家共识(2022版)[J].中华胃肠外科杂志,2022,25(10):859-868.[3]宋玥锦,马立琼,吴光猛,等.常见影像学检查方法对早期胃癌诊断效果分析[J].影像技术,2024,36(01):68-73.何继敏 | 主治医生成都市龙泉驿区第一人民医院研究方向:腹部及泌尿系统影像诊断
解读胃癌影像学:
从CT到MRI的诊断过程
胃癌,作为消化系统常见的恶性肿瘤之一,其早期发现与精准诊断对患者的治疗及预后具有至关重要的作用。而影像学技术在胃癌诊断过程中发挥着不可或缺的角色。无论是计算机断层扫描(CT)还是磁共振成像(MRI),它们犹如医生的“透视眼”与“超级侦探”,助力我们深入揭示胃癌的奥秘。
胃癌?听起来好可怕!
首先,咱们得知道什么是胃癌。胃癌,简单来说,就是胃部组织中生长出的恶性肿瘤。这东西可不好惹,要是不早点发现、早点治疗,后果可就严重了。所以,咱们今天就来聊聊怎么通过一些高科技手段,比如CT、MRI,来尽早发现并揪出这个潜在的“捣蛋鬼”。通过这些高科技的诊断工具,我们可以在疾病的早期阶段就对其进行准确的定位和评估,从而为后续的治疗提供重要的依据。
CT:胃癌诊断的“透视眼”
胃肠道肿瘤手术后的疼痛是不可避免的,但过度的疼痛不仅会让你感到极度不适,还可能对术后恢复产生不利影响,延缓康复进程。所以,一定要学会有效地管理疼痛。首先,和医生保持沟通,及时反馈疼痛情况,了解如何合理使用止痛药。术后采用三步法缓解疼痛,并采用硬膜外镇痛、自控静脉镇痛、口服或滴注药物等多种镇痛方法,同时及时评估镇痛效果,若镇痛效果不理想,则及时联系麻醉师调整镇痛方案。此外,可以尝试一些非药物疗法来辅助缓解疼痛。比如,深呼吸练习能够帮助放松紧张的肌肉,冥想则有助于转移注意力,减轻疼痛感和焦虑情绪。
让我们先来详细了解一下CT扫描。CT听起来是不是感觉非常高端和复杂?实际上,它就像是对人体进行了一次高科技的“透视拍摄”。
(一)CT是怎么工作的?
当你躺在CT机里的时候,它会发出一束束X射线,这些射线穿过你的身体,然后被探测器接收。计算机就像是个超级聪明的“拼图大师”,它会把这些射线信息组合起来,生成一张张详细的身体内部图片。这样一来,医生就能看到胃、肠、肝等内脏的“真面目”了。这种技术在医学诊断中起到了至关重要的作用,帮助医生更准确地识别和评估各种疾病和损伤。
(二)CT能看出胃癌啥?
要是胃里面长了肿瘤,CT可是能看得清清楚楚的。它能显示出肿瘤的位置、大小和形状,还能看出肿瘤有没有侵犯到周围的组织或者器官。更重要的是,CT还能帮助医生判断肿瘤有没有转移到淋巴结或者其他地方,这对于制定治疗方案可是至关重要的。因此,CT是胃癌首选的影像学检查手段。
(三)做CT有啥要注意的?
做CT之前,你可能需要喝一种叫做造影剂的液体。这东西就像是给身体内部打上了“高光”,能够增强扫描图像的对比度,让肿瘤在图片上更加显眼,从而帮助医生更准确地诊断和评估病情。然而,值得注意的是,并非所有人都适合使用造影剂。有些人可能会对其产生过敏反应,这可能表现为皮疹、呼吸困难或其他更严重的症状。因此,在进行CT扫描之前,务必详细告知医生你的过敏史,以便医生评估是否适合使用造影剂,并采取相应的预防措施。还有,CT虽然是个“透视眼”,但它也不是万能的。有时候,肿瘤可能藏得太深或者太小,CT就看不出来了。所以,要是CT结果没问题,但仍然感到身体不适或有任何疑虑,一定要及时与医生沟通。医生可能会建议你进行其他类型的检查,如MRI,以进一步确认诊断结果。
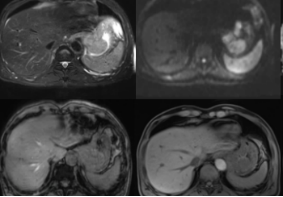
MRI:胃癌诊断的“超级侦探”
说完CT,咱们再来聊聊MRI。MRI它可是个高科技的“超级侦探”,能够深入人体内部,捕捉到那些微小而复杂的结构和病变。
(一)MRI是怎么工作的?
MRI的工作原理跟CT可不太一样。它不用X射线,而是用一个超级强大的磁场和无线电波来“激活”你身体里的氢原子。这些被“激活”的氢原子会发出微弱的信号,MRI机器就像是个超级灵敏的“收音机”,能捕捉到这些信号并把它们转换成详细的身体内部图片。它不仅能提供横截面图像,还能生成三维图像。这样一来,医生就能看到比CT更加细腻的身体结构了。无论是大脑、脊髓,还是关节和软组织,MRI都能提供清晰的视图,成为现代医学中不可或缺的诊断工具。
(二)MRI能看出胃癌啥?
MRI在胃癌诊断上也是个高手。它不仅能看出肿瘤的位置、大小和形状,还能显示出肿瘤内部的血流情况。这对于判断肿瘤的良恶性可是非常有帮助的。更重要的是,MRI还能帮助医生评估手术的可行性。比如,要是肿瘤已经长到了血管或者神经旁边,手术风险可就大了。这时候,MRI就能给医生提供一个更加准确的“作战地图”,让他们能更好地制定手术计划。
(三)做MRI有啥要注意的?
在进行MRI检查之前,你需要仔细检查并移除身上携带的所有金属物品。这包括但不限于手表、项链、耳环、戒指、金属边眼镜以及任何金属装饰的衣物。甚至连一些看似无害的金属物品,如金属扣、拉链、内衣钢圈等,也必须去除。因为磁场可是个“大力士”,它能把金属东西吸过去,万一吸到了机器里面,不仅会损坏设备,还可能对你自己造成伤害。
此外,有些人可能会对MRI机器内部发出的声音感到不适。这些声音通常是因为机器内部的磁场变化引起的,听起来可能会有些吵闹。不过,不用担心,医院通常会提前为你准备耳塞或者耳机,以帮助你隔绝这些噪音,确保你在检查过程中能够保持舒适。值得注意的是,尽管MRI是一种非常先进的影像检查手段,但它并非万能的。在某些情况下,肿瘤可能因为位置过于隐蔽或者体积过小,而无法被MRI准确捕捉到。因此,为了确保诊断的准确性,医生通常会结合多种不同的检查手段,如CT扫描、超声波检查、内窥镜检查以及血液检测等,综合评估病情。只有这样,才能更全面地了解患者的健康状况,从而制定出最适合的治疗方案。
从CT到MRI:胃癌诊断的“黄金搭档”
说了这么多,你可能也看出来了:CT和MRI在胃癌诊断上可是个“黄金搭档”。它们各有各的长处,也各有各的短处。所以,医生通常会根据你的具体情况来选择最合适的检查手段。有时候,可能还得CT和MRI都做一遍才行呢!不过,你可别以为做了这些检查就万事大吉了。诊断胃癌,还得靠病理活检这个“金标准”才行。简单来说,就是医生会从你的胃里取一小块组织出来送到实验室里面化验。要是化验结果显示有癌细胞,那可就是板上钉钉的胃癌了。
好了,说了这么多关于胃癌影像学的事儿,我想最后再跟大家说一句:胃癌并不可怕,可怕的是我们对它的忽视和拖延。所以,大家一定要重视自己的身体健康哦!要是觉得有什么不对劲儿,一定要及时就医并听从医生的建议。只有这样,我们才能拥有一个健康、美好的未来呢!
参考文献:
[1]胡佳慧,陈晓东,罗泽斌.基于CT影像组学在胃癌与胃淋巴瘤鉴别诊断中的研究进展[J].中国CT和MRI杂志,2025,23(01):198-200.
[2]中国抗癌协会胃癌专业委员会影像协作组,中华放射学会腹部学组.胃癌影像学检查与诊断规范化流程专家共识(2022版)[J].中华胃肠外科杂志,2022,25(10):859-868.
[3]宋玥锦,马立琼,吴光猛,等.常见影像学检查方法对早期胃癌诊断效果分析[J].影像技术,2024,36(01):68-73.
何继敏 | 主治医生
成都市龙泉驿区第一人民医院
研究方向:腹部及泌尿系统影像诊断